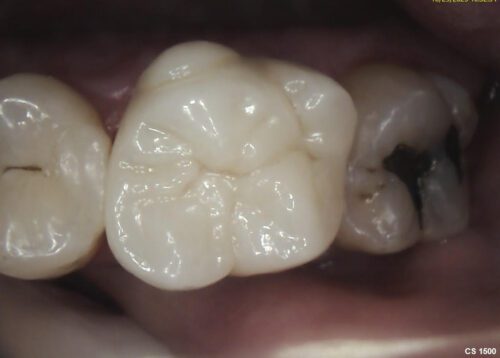
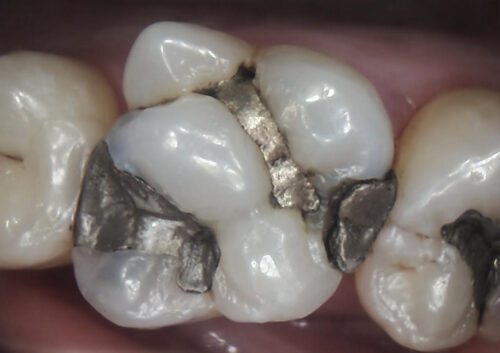
Fractured silver filling. New Zircona crown.
#8 Emax crown before and after
Patient had swollen gums after orthodontics. Gums were recontoured and gingivectomies were performed. Post op picture is directly after procedure. Exposure of more tooth structure created a beautiful smile.
Patient had congenitally missing lateral incisors, nobel biocare implants placed with beautiful porcelain implant crowns
Five single porcelain fused to zirconia crowns 6,7,8,9,10
6 Zirconia crowns following orthodontics.
This patient was able to discard her partial denture. We removed her old Maryland bridge and then made her a beautiful Zirconia Fixed Bridge.
We removed this patient’s old porcelain fused to metal crowns. Four new custom zirconia crowns we fabricated.
This patient fractured his incisal edges. Repaired areas with G-aenial Univeral Flo B-1
#9 fractured tooth composite bonding
